A lesão cerebral traumática
ocorre em aproximadamente 10 milhões de casos novos/ano no mundo e é a
principal causa de morte e invalidez entre jovens (15 a 35 anos). Wilks em 1869
foi o primeiro autor a sugerir uma relação entre traumatismo cranioencefálico
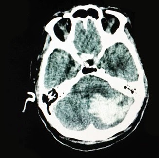
(TCE) e hemorragia subaracnóidea. Freytag e Courville demonstraram através de
necropsias que a lesão mais freqüente no TCE é a HSAt. O diagnóstico de
hemorragia subaracnóidea traumática é feito baseado na história de trauma
associada à hemorragia no espaço subaracnóideo documentada com Tomografia
Computadorizada de crânio.
Não existe consenso quanto
a uma classificação prática e específica para HSAt que considere os riscos de
complicações devidas ao volume e localização de sangue.
Fukuda em 1998 propôs uma
classificação específica para HSAt em seu estudo comparativo entre dano
isquêmico tardio causado pela HSAt em relação ao causado pela ruptura de
aneurismas. Subdividiu-se a HSAt em 3 tipos:
Tipo 1: HSA focal em 1 ou 2
cisternas.
Tipo 2: Difuso laminar ou
espesso em 1 cisterna + HSA em outra topografia.
Tipo 3: Difuso espesso ou
espesso em 2 ou mais cisternas.
Outra classificação é a de
Morris-Marshall, proposta em 1997 por estes autores. Foram analisados 404
adultos com TCE grave em 51 centros de 11 países, relacionando achados na TC de
entrada com o prognóstico destes pacientes. Os resultados demonstram que quando
a HSAt ocorre em um único local a mortalidade é de 18% e prognóstico favorável
em 59%, não tendo a localização da hemorragia mostrado variação nos resultados.
Ocorrendo cisterna com quantidade suficiente de sangue para preenchê-la ou duas
cisternas não preenchidas por sangue, a mortalidade foi de 25% e o prognóstico
favorável 51%. A presença de HSAt em 3 ou mais sítios resultou na mortalidade
de 44% e 28% de prognóstico favorável. A combinação entre dois locais com HSA,
incluindo o tentório, mostrou mortalidade de 31% e prognóstico favorável em 44%.
Os autores deste estudo concluíram que o número de cisternas com sangue tem
relação direta com o prognóstico dos pacientes e que a presença de sangue no
tentório associada a outra cisterna com HSA, tem prognóstico pior.
Nenhuma das classificações, no entanto,
leva em consideração
pacientes com TCE
leve e moderado com HSAt ; também não se especifica se cada subtipo leva a
alterações específicas pela HSAt, como vasoespasmo e hidrocefalia, levando a
crer que as classificações até hoje propostas apenas relacionam a quantidade de
sangue vista na TC com maior gravidade do trauma e conseqüente maior agressão
aos neurônios, justificando assim o pior prognóstico, independentemente das
alterações fisiopatológicas promovidas pela hemorragia isoladamente.
Referência:
Hemorragia subaracnóidea traumática: aspectos clínicos, radiológicos ecomplicações / Traumatic subarachnoid hemorrhage: clinical and radiological aspects and complications. Fonte: J. bras. neurocir;19(3):31-36, 2008.
![]() |
| Por: Ana Quézia Acadêmica do Quarto Período de Medicina Membro da LIPANI |

























