sexta-feira, 13 de fevereiro de 2015

I CONGRESSO PARAIBANO DE NEUROINTENSIVISMO

Prezado Colega,

A diretoria do I Congresso Paraibano de Neurointensivismo, projeto idealizado pela Liga Paraibana de Neurointensivismo juntamente com o Centro de Estudos em Neuroemergência da Paraíba, anuncia, com muita satisfação, que o grande encontro cientifico relacionado com neurointensivismo será realizado no Conselho Regional de Medicina de João Pessoa, Paraíba, no período de 16 a 18 de Abril de 2015.
O principal objetivo é promover a integração dos pesquisadores das áreas relacionadas com neurointensivismo, neurocirurgia e neurologia e assim trocar ideias, conhecimento e experiências.
Estamos organizando o I Congresso Paraibano de Neurointensivismo com muita dedicação para que você se sinta em casa durante esses três dias.
O evento ocorrerá juntamente com o Simpósio de Neurointensivismo da Paraíba, dentro do qual haverá minicursos em diversos temas como Neurorradiologia, Monitoração Multimodal, Neuroanatomia Microcirúrgica e Escalas em Neurotrauma, com o apoio do presidente do congresso, Dr. Gustavo Patriota, contemplando uma exímia grade científica que visa aprofundar o entendimento teórico e prático dos participantes. Além disso, contaremos com a presença de renomados convidados nacionais, que são referências em suas especialidades e que muito contribuirão para o êxito do evento.
Contamos com o seu apoio e presença para que o encontro seja ainda mais completo.

Um grande abraço e até lá!

www.cenepb.com

Mensagem do Presidente

     É com imensa alegria e satisfação que realizaremos o I CONGRESSO PARAIBANO DE NEUROINTENSIVISMO, na cidade de João Pessoa, Paraíba. Esse evento representa o amadurecimento da subespecialidade no estado e contará com a participação de uma equipe multiprofissional.

     Exercer o neurointensivismo no Brasil é uma tarefa para poucos já que demanda conhecimento técnico específico e a utilização de tecnologia de última geração. Apesar da divulgação da especialidade através das pós graduações existentes no país, este evento se faz necessário, pois tem a finalidade de unir equipes multiprofissionais com um único objetivo: o êxito do paciente.

      A divulgação de protocolos assistenciais, discussão de temas polêmicos, apresentação de trabalhos científicos fará com que o congressista absorva o que há de mais importante nesta especialidade: “NEUROMONITORAÇÃO MULTIMODAL E PREVENÇÃO DE LESÃO SECUNDÁRIA”.


SEJAM BEM VINDOS A JOÃO PESSOA E TENHAM UM EXCELENTE CONGRESSO!!!


Atenciosamente,
  
Dr. Gustavo Patriota


NEUROCIRURGIÃO/ NEUROINTENSIVISTA
MEMBRO TITULAR DA SOCIEDADE E ACADEMIA BRASILEIRA DE NEUROCIRURGIA

COORDENADOR DO DEPARTAMENTO DE NEUROINTENSIVISMO DA SOCIEDADE BRASILEIRA DE NEUROCIRURGIA
COORDENADOR NEUROCIRURGIA DO HOSPITAL DE EMERGÊNCIA E TRAUMA SENADOR HUMBERTO LUCENA

quinta-feira, 5 de fevereiro de 2015

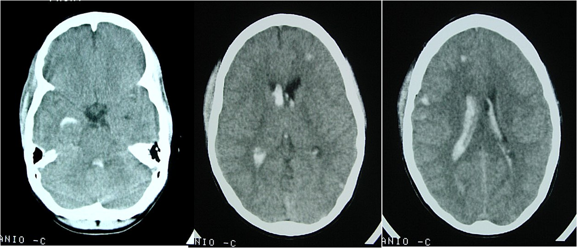
Hidrocefalia Comunicante Aguda

A hidrocefalia é o acúmulo anormal de líquido cefalorraquidiano no sistema ventricular cerebral. Há basicamente três tipos de hidrocefalia: Obstrutiva, que ocorre quando há um bloqueio no sistema ventricular, sendo nesse caso uma forma Não-comunicante; Não-obstrutiva, que é causada por um desbalanço no sistema de produção e absorção do líquor, se comportando como uma forma Comunicante; De pressão normal, que acomete mais frequentemente idosos.

No Adulto, uma grande causa de hidrocefalia aguda é o traumatismo Crânioencefálico (TCE). Descartada essa possibilidade, uma outra hipótese a ser levantada é a presença de infecções como caxumba, citomegalovírus, hepatite e, principalmente, meningite. O diagnóstico deve ser feito com base na história clínica do paciente associado aos exames de imagem como Tomografia Computadorizada e Ressonância Magnética.

Na hidrocefalia aguda, o grau de compressão cerebral pelo excesso de líquor pode ser tão importante que pode levar o paciente ao coma. Dessa forma, é fundamental que seja realizada o mais breve possível a drenagem desse líquor através da colocação de um cateter ventricular, procedimento conhecido como Drenagem Ventricular Externa (DVE). Nos casos de suspeita de meningite, é importante que se realize a coleta e análise laboratorial completa do líquor, a fim de confirmar ou afastar a hipótese de meningite.

Figura 1: Paciente portador de hidrocefalia comunicante aguda atraumática



Referências:

ABC.MED.BR, 2012. O que é hidrocefalia? Quais as causas e os sintomas? Como é o tratamento?. Disponível em: <http://www.abc.med.br/p/saude-da-crianca/330579/o-que-e-hidrocefalia-quais-as-causas-e-os-sintomas-como-e-o-tratamento.htm>. Acesso em: 4 fev. 2015.


http://www.sistemanervoso.com/pagina.php?secao=1&materia_id=442&materiaver=1


Por: Leomar Maia
Acadêmico de Medicina
Secretário da LIPANI

sábado, 24 de janeiro de 2015

Síndromes Pontinas

Síndrome de Millard-Gubler
Na síndrome de Millard-Gubler ocorre uma lesão na base da ponte, comprometendo o trato corticoespinal e as fibras do nervo abducente, resultando em um quadro de hemiplegia cruzada, paralisia facial periférica e lesão do nervo abducente ipsilaterais. A lesão do nervo abducente causa paralisia do músculo reto lateral do mesmo lado da lesão, impossibilitando o movimento de abdução do globo ocular do lado acometido, e o paciente passa a apresentar diplopia e estrabismo convergente, este por ação do reto medial não contrabalançada pelo reto lateral.

Síndrome de Foville (Síndrome de Raymond-Foville)
A síndrome de Foville caracteriza-se por paralisia facial periférica e paralisia do olhar conjugado horizontal (na direção da lesão) ipsilaterais e hemiparesia contralateral. Geralmente a lesão situa-se na região inferior da ponte e envolve o trato corticoespinal, causando hemiparesia contralateral, a formação reticular pontina paramediana (FRPP) e/ou o núcleo do nervo abducente, resultando em paralisia do olhar conjugado, além do núcleo ou fibras do nervo facial, levando a paralisia facial periférica.

Síndrome de Gellé
A síndrome de Gellé foi descrita em 1901, e consiste em surdez ipsilateral, vertigem, paralisia facial variável e hemiparesia contralateral. Nessa síndrome a lesão está situada na região ântero-lateral da parte inferior da ponte e envolve o nervo vestibulococlear (NC VIII) e fibras do trato corticoespinal, com comprometimento variável do nervo facial.

Figura 1: Hemorragia ao nível da ponte

REFERÊNCIAS:
1- MACHADO, A.; HAERTEL, L. M. Considerações Anatomoclínicas sobre a Medula e o Tronco Encefálico. Neuroanatomia Funcional. 3 ed. São Paulo: Editora Atheneu, 2014. p. 185-194 
2- AFIFI, A. K.; BERGMAN, R. A. Ponte: Correlatos clínicos. Neuroanatomia Funcional. 2 ed. São Paulo: Editora Roca, 2007. p.133-139.

3- FILHO, M. B. L. et al. Acidente vascular de tronco encefálico. Arq Neupsiquiatr. v. 53, n. 01, p. 364-367, 1995. 

Por: Thiago Sipriano
Acadêmico de Medicina
Convidado da LIPANI

sexta-feira, 23 de janeiro de 2015

Quando devemos indicar uma Tomografia Computadorizada para crianças?

            Uma das mais comuns afecções durante a infância é o traumatismo crenioencefálico (TCE), seja devido a uma bolada, a uma queda da cama ou tantas outras causas de TCE nessa faixa etária.
            Diferentemente de adultos, que apresentam um quadro clínico mais linear após um TCE, a apresentação clínica de uma criança pode ser bastante variável. Para os adultos, conhecemos sinais que podem servir de alerta quanto à maior gravidade de alguns traumatismos. Os mesmos sinais, entretanto, podem não servir para os pacientes mais novos. É comum que crianças vomitem fisiológicamente após uma pancada, aparentem estar sonolentas ou ainda facilmente irritáveis, sendo necessários mais de um episódio daquele primeiro fator ou persistência dos demais.
            Portanto, para evitar dúvidas, preconizar e agilizar o atendimento a crianças vítimas de TCE, foi criado em 2010 o CATCH (Canadian Assessment of Tomography for Childhood Head), e deve ser utilizada para os traumatismos considerados leves (Glasgow 13-15), que são os maiores causadores de dúvidas.

            Regra CATCH:

CRITÉRIOS DE INCLUSÃO - TCE LEVE
Glasgow entre 13 e 15
Trauma dentro das últimas 24h
Perda de consciência testemunhada
Amnésia definitiva
Desorientação testemunhada
Vômitos (> 1) ou irritabilidade persistente (para menores de 2 a.)


            A criança só é enquadrada para a Classificação de Risco se preencher todos os critérios acima. Caso contrário, a tomografia está descartada. Caso preencha todos acima, mas nenhum abaixo, a tomografia também não é necessária.

            Classificação de Risco:
ALTO RISCO
Glasgow < 15 após 2 horas do trauma
Suspeita de afundamento ou fratura de crânio
Cefaleia em piora
Irritabilidade ao exame

MÉDIO RISCO
Sinal(is) de fratura da base do crânio*
Grande céfalo-hematoma
Mecanismo perigoso**
Irritabilidade ao exame

*: Hemotímpano, sinal do guaxinim, otorreia ou rinorreia liquórica, sinal de Battle.
**: Acidente automobilístico, queda superior a 1m ou 5 degraus, queda de bicicleta sem capacete.

            Caso a criança se enquadre em pelo menos um dos itens acima (de risco) a tomografia está indicada e deve ser realizada logo.

            Em salas de emergência é de suma importância saber agir da forma correta o mais rapidamente possível. A regra CATCH apresenta como uma ótima ferramenta para esta finalidade.


REFERENCIAS
Osmond MH, et al. CATCH: a clinical decision rule for the use of computed tomography in children with minor head injury. CMAJ. 2010 Mar 9;182(4):341-8. Disponível em http://www.ncbi.nlm.nih.gov/m/pubmed/20142371  acesso em 22 de janeiro de 2015.


Por: Breno Guedes
Acadêmico de Medicina
Membro da LIPANI


quinta-feira, 22 de janeiro de 2015

Síndromes Mesencefálicas

Síndrome de Weber
Na síndrome de Weber temos uma lesão da base do pedúnculo cerebral, geralmente compromete o trato corticoespinal e fibras do nervo oculomotor, resultando em hemiplegia do lado oposto e paralisia ipsilateral do oculomotor. O paciente com lesão do nervo oculomotor apresenta ptose palpebral, diplopia, midríase e imposibilidade de mover o bulbo ocular para cima, para baixo e em direção medial, devido à paralisia dos músculos retos superior, inferior e medial, além de estrabismo divergente, por ação do músculo reto lateral não contrabalançada pelo reto medial.
Essa síndrome foi descrita pelo médico francês Adolph-Marie Gubler, cerca de quatro anos antes do médico teuto-inglês Sir Herman David Weber tê-la descrito, em 1863, e 17 anos antes do médico alemão Ernest Victor Von Leyden, descrever uma síndrome semelhante em 1875. Por isso, a síndrome de Weber é também descrita por alguns como síndrome de Weber-Gubler, paralisia de Leyden e síndrome de Leyden. Além de outros sinônimos como síndrome peduncular cerebral, hemiplegia alternante peduncular superior e síndrome do pedúnculo cerebral.

Figura 1: AVCh de mesencéfalo acometendo a base do pedúnculo cerebral direita. O paciente encontrava-se inconsciente, pupila direita midriática e com hemiplegia esquerda.
Síndrome de Benedikt
Na síndrome de Benedikt ocorre lesão no tegmento mesencefálico, comprometendo o nervo oculomotor, o núcleo rubro e os lemniscos medial, espinal e trigeminal. Os sinais e sintomas da lesão do nervo oculomotor estão descritos acima. A lesão dos lemniscos medial, espinal e trigeminal resultam em anestesia da metade (hemianestesia) contralateral do corpo, inclusive da cabeça (causada por lesão do lemnisco trigeminal). E por fim, a lesão do núcleo rubro que causa tremores e movimentos anormais do lado oposto à lesão.
Essa síndrome foi descrita inicialmente em 1889 pelo médico vienense Moritz Benedikt.

Síndrome de Perinaud
A síndrome de Perinaud também é conhecida como síndrome do aqueduto de Sylvius, síndrome mesencefálica dorsal e síndrome peneal. A lesão esta situada na área pré-tetal. Os pacientes com essa síndrome apresentam paralisia do olhar conjugado para cima, alterações pupilares (midríase e dissociação luz-perto), retração palpebral (sinal de Collier) e nistagno de refração convergência ao olhar para cima.
Essa síndrome foi descrita em 1883 por Parinaud, que não elucidou precisamente o local da lesão. A localização definitiva da lesão na área pré-tetal resultou de observações experimentais e em humanos feitas entre 1969 e 1974 por Bender, que criou o termo síndrome pré-tetal.

 REFERÊNCIAS:
1- MACHADO, A.; HAERTEL, L. M. Considerações Anatomoclínicas sobre a Medula e o Tronco Encefálico. Neuroanatomia Funcional. 3 ed. São Paulo: Editora Atheneu, 2014. p. 185-194 

2- AFIFI, A. K.; BERGMAN, R. A. Mesecéfalo: Correlatos clínicos. Neuroanatomia Funcional. 2 ed. São Paulo: Editora Roca, 2007. p.163-167.

3- FILHO, M. B. L. et al. Acidente vascular de tronco encefálico. Arq Neupsiquiatr. v. 53, n. 01, p. 364-367, 1995.


Por: Thiago Sipriano
Acadêmico de Medicina
Convidado da LIPANI


quarta-feira, 15 de outubro de 2014

Idade Avançada Seria um Motivo Para Não Operar um TCE?

Com a evolução da humanidade evidencia-se aumento progressivo de vítimas de traumas mecânicos, independente da causa, os quais determinam o crescimento das mortes ditas violentas. Dentre os traumas mecânicos, o traumatismo cranioencefálico (TCE) é o principal determinante de óbito e sequelas em politraumatizados, sendo por isso definido pela Organização Mundial de Saúde como um problema de saúde pública. Os desfechos clínicos dos pacientes com trauma cranioencefálico grave são variáveis e as previsões prognósticas são incertas. A disponibilidade de grandes bancos de dados, avanços estatísticos e a utilização de escalas de prognóstico tem facilitado o desenvolvimento de modelos de prognóstico de maior desempenho e generalização.

Hipotensão arterial, hipoxemia, pressão de perfusão cerebral diminuída, pressão intracraniana aumentada, hiperpirexia e idade acima de 40 anos são fatores relacionado a um mau prognóstico no atendimento inicial ao TCE. Sendo assim, pergunta-se: vale a pena operar um paciente idoso vítima de TCE que esteja em indicação cirúrgica?



Visto que a idade se torna um fator de mau prognóstico a partir de 40 anos e que existem diversos fatores além dos citados acima que aumentam a mortalidade no TCE como rebaixamento do nível de consciência e lesão axonal difusa, a idade não pode e não deve ser considerada um fator de exclusão para um procedimento cirúrgico. Considerando que pacientes a partir de 40 anos não fossem submetidos à cirurgia devido ao mau prognóstico, esperaríamos um aumento da mortalidade destes pacientes assim como a diminuição do número de cirurgias do centro de referência em TCE.


Por: Carolinne Queiroga
Acadêmica do sétimo período de Medicina
Vice-presidente da LIPANI


sábado, 11 de outubro de 2014

Escala universal de Hemorragia Subaracnoidea da Federação Mundial de Neurocirurgiões (WFNS)



A escala, criada no ano de 1988 por um comitê da Federação Mundial de Neurocirurgiões, é constituída de cinco graduações, baseada na Escala de Coma de Glasgow e na presença de déficit neurológico focal e avalia a gravidade dos sintomas após ocorrência de hemorragia subaracnoidea (HSA).
O comitê avaliou a importância prognóstica da cefaleia, da rigidez de nuca e do déficit no paciente com HSA e inferiu que o melhor preditor de morte e déficit é o nível de consciência, avaliado através da escala de Glasgow e que o melhor preditor de déficit focal, mas não de mortalidade foram a presença de hemiparesia e/ou de afasia.
A partir de revisão bibliográfica, a WFNS elaborou a seguinte tabela:

Escala WFNS
Grau 1
Glasgow 15 + Déficit motor ausente.
Grau 2
Glasgow 13-14 + Déficit motor ausente.
Grau 3
Glasgow 13-14 + Déficit motor presente.
Grau 4
Glasgow 7-12 + Déficit motor ausente ou presente.
Grau 5
Glasgow 3-6 + Déficit motor ausente ou presente.

Esta escala apresenta como vantagem a sua objetividade em predição prognóstica, entretanto, não possui um método definido para a segmentação da escala de Glasgow, dificultando sua aplicabilidade e memorização.

REFERÊNCIA

WFNS. Report of World Federation of Neurological Surgeons Committee on a Universal Subarachnoid Hemorrhage Grading Scale. J Neurosurg. 1988 Jun; 68(6): 985-6.


PINTO, F. C. G. Manual de iniciação em Neurocirurgia. 2 ed. São Paulo: Santos, 2012.


Postado por Breno Guedes.
Graduando do Oitavo Período em Medicina.
Membro LIPANI.

quarta-feira, 8 de outubro de 2014

Considerações sobre Lesão Axonal Difusa (LAD) - Constante em Acidentes Automobilísticos

No dia 05 de Outubro o piloto da equipe Marussia, Jules Bianchi de 25 anos, se chocou a mais de 200 Km/h contra um trator no Grande Prêmio de F-1 de Suzuka no Japão. Mais uma vez acidente automobilístico nas provas de Fórmula 1 é motivo de danos cerebrais graves.

Jules Bianchi, 25 anos, momento do primeiro atendimento após o choque.
Jules Bianchi assim como, Ayrton Senna e Roland Ratzenberg tiveram a triste experiência de uma lesão cerebral em corridas de Fórmula 1.
Roland Ratzemberg, em treino classificatório de Ímola na Itália em 1994, se chocou contra um muro de concreto a 306 Km/h que ocasionou uma fratura de base de crânio. Na mesma prova o piloto Ayrton Senna se chocou contra muro a 210 Km/h, foi acometido por várias fraturas cranianas e por lesões intraparenquimatosas chamadas de Lesão Axonal Difusa (LAD). Os pilotos Ayrton Senna e Roland Ratzenberg sucumbiram aos ferimentos. O acidente do piloto Jules Bianchi resultou também em LAD, esse, continua em estado grave.

Ayrton Senna e o primeiro atendimento após o choque.

Roland Ratzenberg após choque.
Os traumas crânio encefálicos, principalmente aqueles acometidos por alta energia cinética (aceleração ou desaceleração), promovem lesão celulares difusas chamadas de Lesão Axonal Difusa.
Quando ocorre uma força abrupta a qual promove alta energia cinética no cérebro as camadas mais superficiais do encéfalo são desaceleradas antes das profundas causando compressão, tensão e cizalhamento. O resultado disso é a ruptura ou apenas disfunção transitória de axônios e vasos sanguíneos em várias regiões dos hemisférios cerebrais.
O quadro clínico de um paciente com LAD caracteriza-se pelo coma e seqüelas neurológicas variáveis. O quadro clínico é variável pois é dependente dos locais da LAD e do grau de transtorno sucedido nos axônios.
O exame físico que apresenta perda de consciência prolongada após o traumatismo e persistência de sintomas muitas vezes é resultado de LAD. Isso será confirmado com a tomografia computadorizada que se observa múltiplos pontos hemorrágicos, tipicamente na substância branca profunda, corpo caloso e em alguns casos o tronco cerebral.

Lesão Axonal Difusa apresentado em paciente vítima de TCE. Mashall II.
A escala de Marshall deve ser aplicada na TCC, isso pode prever o prognóstico do paciente.

O tratamento adequado da LAD deve ser realizado em UTI com constante controle da Hipertensão Intracraniana (HIC) e a monitoração da Pressão Intracraniana (PIC).

Protocolo de atendimento retirado do livro:
Manual de Iniciação em Neurocirurgia - Fernando Campos Gomes Pinto
Referências:
  • Lesão Axonal Difusa, Hemorragia Ventricular - UNICAMP
  • Manual de Iniciação em Neurocirurgia - Fernando Campos Gomes Pinto
  • Decompressive Craniectomy in Diffuse Traumatic Brain Injury - D. James Cooper, M.D., Jeffrey V. Rosenfeld, M.D., Lynnette Murray.
  • Mechanisms of brain injury. - The Journal of Emergency Medicine - Department of Neurosurgery, University of Pennsylvania, Philadelphia 19104.
  • Traumatically induced axonal injury: pathogenesis and pathobiological implications.  - Journal Article, Review, Research Support, U.S. Gov't, P.H.S. - Department of Anatomy, Medical College of Virginia, Virginia Commonwealth University, Richmond 23298-0709.


Por: Vernior Júnior
Acadêmico do quinto período de Medicina
Presidente da LIPANI

sexta-feira, 3 de outubro de 2014

Correlacionando a História Natural dos Meningiomas com a Doutrina de Monro-Kellie

Meningiomas são os tumores benignos mais comuns do sistema nervoso central (SNC), correspondendo a cerca de 20% dos tumores cerebrais primários. Os meningiomas predominam no sexo feminino, numa proporção de 2:1. A taxa de incidência é de 6 casos por 100.000 habitantes por ano. Têm origem em células da aracnoide, raramente atingindo o parênquima cerebral. De uma maneira geral os meningiomas têm crescimento lento e são bastante volumosos em alguns casos no momento em que se institui o diagnóstico. Mais de 90% dos meningiomas são de localização supratentorial.

Soichi et al (2011) analisou a história natural dos meningiomas, com a maior amostra até então apresentada em um único estudo. O mesmo foi realizado com 244 pacientes portadores de 273 meningiomas, conduzidos conservadoramente entre 2003 e 2008, com um follow-up de pelo menos 1 ano, com uma média de 3,8 anos. Aproximadamente 40% dos tumores exibiram crescimento significante com um follow-up de 4 anos de duração e 74% dos tumores apresentaram aumento de seu volume, sendo esta a variável mais sensível para avaliar o crescimento dos meningiomas. O outro método utilizado foi o crescimento linear do tumor.

A base de implantação deste meningioma situa-se na pequena asa D do esfenóide e porção adjacente do processo orbitário do osso frontal, que forma o teto da órbita. Nestes locais há proliferação óssea secundária à invasão tumoral. Uma lingueta do giro parahipocampal D insinua-se na cisterna pontocerebelar, constituindo uma hérnia de úncus. Há desvio do tronco cerebral, levando a aumento da cisterna deste lado.
A doutrina de Monro-Kellie estabelece que o encéfalo reside em um conteúdo inelástico, o crânio, e que o volume intracraniano deve permanecer constante (80% encéfalo, 10% líquor, 10% sangue). O aumento de um compartimento, ou seja, encéfalo, líquor, sangue ou outros, deve(m) ser compensado(s) pela diminuição de outro compartimento ou haverá aumento da pressão intracraniana (PIC). Os mecanismos compensatórios são os seguintes:
-Deslocamento de líquor do compartimento intracraniano para o compartimento intratecal;
-Deslocamento de sangue venoso para as veias jugulares;
-Deslocamento de tecido cerebral.

A doutrina de Monro-Kellie é plausível para o entendimento da hipertensão intracraniana (HIC), e a HIC é causada quando há aumento de um compartimento e os mecanismos compensatórios não são suficientes para impedir um aumento da PIC. O aumento de água no crânio é responsável pela formação do edema cerebral, de sangue, inchaço, de líquor, hidrocefalia, já a presença de lesão expansiva cerebral, constitui um componente extra, que a depender do seu volume e velocidade de instalação, entre outros fatores, ocasionará aumento da PIC de menor ou maior grau, por esgotamento dos mecanismos de compensação. Pode ainda haver associação entre esses diversos componentes.

Os meningiomas são lesões expansivas, que embora de crescimento lento, podem atingir grandes volumes e perturbar os mecanismos de compensação propostos pela doutrina de Monro-Kellie.


Referências:
1- SOICHI, O.Y.A., KIM, S.H., SADE, B., LEE, J.H. The natural history of
intracranial meningiomas. J Neurosurg, Ohio, v. 114, p. 1250-1256, maio
2011.

 2- MIZUMOTO, N., TANGO, H. K., PAGNOCCA, M. L. Efeitos da hipertensão
arterial induzida sobre a complacência e pressão de perfusão encefálica em
hipertensão intracraniana experimental: comparação entre lesão encefálica
criogênica e balão subdural. Rev Bras Anestesiol, São Paulo, v. 55, n. 03, p.
289-307, maio-junh. 2005.

3- PATRIOTA, G. C. Doutrina de Monto-Kellie. Blog Neurointensivismo.

4- Site didático de Anatomia Patológica, Neuropatologia e Neuroimagem.
Meningioma, 2014. Disponível em:
<http://anatpat.unicamp.br/rpgmeningiomat6.4.html>. Acesso em: 02 de dez.2014.

Por: Thiago Sipriano
Acadêmico do sétimo período de Medicina
Convidado

segunda-feira, 29 de setembro de 2014

Prêmio Jovem Neurocirurgião 2014

O vencedor do Prêmio Jovem Neurocirurgião é Robson Luis Oliveira de Amorim. O Prêmio foi entregue durante o XXX Congresso Brasileiro de Neurocirurgia realizado em Curirtiba. O tema do estudo é Improved hemodynamic parameters in middle cerebral artery infarction after decompressive craniectomy.

A Banca Avaliadora foi formada pelos Membros Titulares da SBN, Christian Diniz Ferreira (Coordenador do Depto. Jovem Neurocirurgião), Eduardo de Arnaldo Silva Vellutini e Maria Carolina Martins de Lima. Para Robson, ser o vencedor do Prêmio foi "a conquista de um sonho" e também é "um incentivo à produção científica".