A Frenologia surgiu a partir das observações do médico e anatomista alemão Franz Joseph Gall (Tiefenbronn, 1758 - Paris, 1828), e de seu colega Johann Gaspar Spurzheim, inferindo que distintas funções mentais são localizadas em diferentes partes do cérebro. No seu principal trabalho "A Anatomia e Fisiologia do Sistema Nervoso em Geral, e do Cérebro em Particular" (Untersuchungen ueber die Anatomie des Nervensystems ueberhaupt, und des Gehirns insbesondere), Gall estabeleceu os princípios nos quais baseou sua doutrina.
No ano de 1793, Gall convenceu-se que havia descoberto regiões no córtex cerebral onde faculdades universais inatas estariam presentes. Ele assim os denominou “Orgãos”, um termo comumente utilizado para as áreas específicas do córtex, em Viena, local onde teve sua formação médica. Gall, então, começou a colecionar crânios humanos e de animais e moldes de cera de cérebros, a fim de estudar o desenvolvimento dos contornos cranianos com os comportamentos característicos associados a animais, deliquentes, indigentes e pacientes com problemas psiquiátricos.
Sua coleção de caveiras, bem como moldes de gesso e cabeças e crânios, tornou-se tão extensa, e sua energia em colecioná-los tão exagerada que ele se tornou uma celebridade local. Em 1802, a coleção consistia em 300 crânios humanos e 120 moldes de gesso.
A partir das análises anatômicas dos crânios por Gall, foram fundamentados os seguintes conceitos:
1. O cérebro é o órgão da mente.

A partir das análises anatômicas dos crânios por Gall, foram fundamentados os seguintes conceitos:
1. O cérebro é o órgão da mente.
2. A mente é composta por faculdades múltiplas, distintas e inatas.
3. Por serem distintos, cada faculdade deve ter uma localização ou "órgão" separado no cérebro.
4. O tamanho de um órgão, comparado a outros equivalentes, é uma medida de seu funcionamento.
5. A forma do cérebro é determinada pelo desenvolvimento dos vários órgãos.
6. À medida que o crânio toma a forma do cérebro, a superfície do crânio pode ser lida como um índice preciso de aptidões e tendências psicológicas.
Por isso, acreditava-se que, examinando a forma e a irregularidade de uma cabeça ou crânio, poderia descobrir o desenvolvimento dos "órgãos" cerebrais específicos responsáveis por diferentes aptidões intelectuais e traços de caráter. Por exemplo, uma protuberância proeminente na testa, posição atribuída ao órgão da Benevolência, significava que o indivíduo tinha um órgão "bem desenvolvido" de Benevolência e, portanto, seria esperado que exibisse um comportamento benevolente.
3. Por serem distintos, cada faculdade deve ter uma localização ou "órgão" separado no cérebro.
4. O tamanho de um órgão, comparado a outros equivalentes, é uma medida de seu funcionamento.
5. A forma do cérebro é determinada pelo desenvolvimento dos vários órgãos.
6. À medida que o crânio toma a forma do cérebro, a superfície do crânio pode ser lida como um índice preciso de aptidões e tendências psicológicas.
Por isso, acreditava-se que, examinando a forma e a irregularidade de uma cabeça ou crânio, poderia descobrir o desenvolvimento dos "órgãos" cerebrais específicos responsáveis por diferentes aptidões intelectuais e traços de caráter. Por exemplo, uma protuberância proeminente na testa, posição atribuída ao órgão da Benevolência, significava que o indivíduo tinha um órgão "bem desenvolvido" de Benevolência e, portanto, seria esperado que exibisse um comportamento benevolente.
Com suas idéias de localização, Gall foi a primeira pessoa a criar uma teoria da doença mental localizada. Para Gall, uma doença mental era uma doença cerebral. Além disso, Gall foi o primeiro a promover a distinção entre responsabilidade criminal e crime como resultado de defeitos somáticos.
Antes que seus trabalhos pudessem ser publicados, suas palestras foram banidas pelo imperador austríaco Franz II em dezembro de 1801. A igreja também considerou a teoria dele como contrária à religião pois era uma heresia acreditar que a mente, criada por Deus, tinha um local físico. Apesar de que muitos evangélicos devotos viram nos órgãos Veneração e Maravilha evidências e vestígios do Criador.
Antes que seus trabalhos pudessem ser publicados, suas palestras foram banidas pelo imperador austríaco Franz II em dezembro de 1801. A igreja também considerou a teoria dele como contrária à religião pois era uma heresia acreditar que a mente, criada por Deus, tinha um local físico. Apesar de que muitos evangélicos devotos viram nos órgãos Veneração e Maravilha evidências e vestígios do Criador.
Sendo assim, Gall decide mudar-se para Berlim onde suas obras tornam-se mundialmente conhecidas e divulgadas. Utilizadas, posteriormente, neste mesmo país, como pretexto eugênico no período do terceiro Reich.
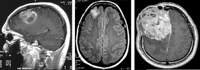
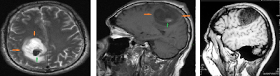
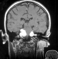
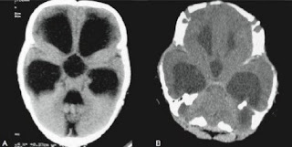
Ironicamente, apesar da maioria das premissas básicas da frenologia terem sido consideradas pseudociência, as leituras dos comportamentos e a sua relação com o crânio não foram. O princípio de que as funções específicas cerebrais estão localizadas em topografias determinadas é agora conhecimento comum demonstradas por técnicas modernas de imagem, como a ressonância magnética funcional (FMRI). Esta doutrina que possibilita a visualização precisa de uma determinada função quando ela está sendo realizada é chamada de localizacionismo cerebral.
Em 1861, já foi correlacionado por Broca o fenômeno clínico da afasia motora com o achado patológico de lesão específica da porção posterior do giro frontal inferior, constituindo base de estudos paleontológicos atuais dos crânios de hominídeos primitivos para determinar os formatos dos cérebros e a presença de um nó alargado na região de Broca provando assim a origem do uso de nossa linguagem verbal. Além disso, é também confirmado que as áreas do cérebro que são mais frequentemente utilizadas podem hipertrofiar-se, como por exemplo, o hipocampo direito dos taxistas de Londres. Esta é essencialmente a frenologia sob uma nova aparência.
Além de ser visto atualmente como o pioneiro em determinar localizações cerebrais específicas, Gall também fez muitas contribuições para a "ciência real", tais como a sua descoberta de que a matéria cinzenta do cérebro contem corpos celulares e a matéria branca fibras axonais.
Ironicamente, apesar da maioria das premissas básicas da frenologia terem sido consideradas pseudociência, as leituras dos comportamentos e a sua relação com o crânio não foram. O princípio de que as funções específicas cerebrais estão localizadas em topografias determinadas é agora conhecimento comum demonstradas por técnicas modernas de imagem, como a ressonância magnética funcional (FMRI). Esta doutrina que possibilita a visualização precisa de uma determinada função quando ela está sendo realizada é chamada de localizacionismo cerebral.
Em 1861, já foi correlacionado por Broca o fenômeno clínico da afasia motora com o achado patológico de lesão específica da porção posterior do giro frontal inferior, constituindo base de estudos paleontológicos atuais dos crânios de hominídeos primitivos para determinar os formatos dos cérebros e a presença de um nó alargado na região de Broca provando assim a origem do uso de nossa linguagem verbal. Além disso, é também confirmado que as áreas do cérebro que são mais frequentemente utilizadas podem hipertrofiar-se, como por exemplo, o hipocampo direito dos taxistas de Londres. Esta é essencialmente a frenologia sob uma nova aparência.
Além de ser visto atualmente como o pioneiro em determinar localizações cerebrais específicas, Gall também fez muitas contribuições para a "ciência real", tais como a sua descoberta de que a matéria cinzenta do cérebro contem corpos celulares e a matéria branca fibras axonais.
Referências:
1- Simpson D. Phrenology and the neurosciences: contributions of F. J. Gall and J. G. Spurzheim. ANZ J Surg, 2005
2- Gall, F.J., & Spurzheim, J.G., Anatomie et physionomie du système nerveux en général et du cerveau en particulier . Premier volume. Anatomie et physiologie du système nerveux en général et anatomie du cerveau en particulier . Paris, F. Schoell, 1810
3- Sabbatini R. Frenologia: A história da localização cerebral, cerebromente.org.br/n01/frenolog/frenologia_port.htm
1- Simpson D. Phrenology and the neurosciences: contributions of F. J. Gall and J. G. Spurzheim. ANZ J Surg, 2005
2- Gall, F.J., & Spurzheim, J.G., Anatomie et physionomie du système nerveux en général et du cerveau en particulier . Premier volume. Anatomie et physiologie du système nerveux en général et anatomie du cerveau en particulier . Paris, F. Schoell, 1810
3- Sabbatini R. Frenologia: A história da localização cerebral, cerebromente.org.br/n01/frenolog/frenologia_port.htm


Por: Igor Rafael Miranda F. Santander
Acadêmico de Medicina
Membro da LIPANI
Acadêmico de Medicina
Membro da LIPANI



























