Os tumores do SNC podem ser
malignos (primários e metastáticos) e benignos. No encéfalo, os tumores
metastáticos são mais frequentes que os tumores primários. Os carcinomas de
pulmão são a principal fonte de metástases para o encéfalo.
A incidência dos tumores
intracranianos primários aumentou nas últimas décadas, provavelmente em virtude
do aumento da vida média da população. A instalação dos sintomas geralmente é
progressiva, e a identificação precoce das síndromes focais pode fazer a
diferença no prognóstico desta patologia.
A seguir trataremos das síndromes
focais mais comumente encontradas de acordo com a topografia lesional.
TUMORES FRONTAIS
- Lesões anteriores: acometem a área pré-motora, gerando, desde o início, transtornos cognitivo-comportamentais: distúrbios da atenção e/ou memória, apatia, desinteresse e bradipsiquismo.
- Lesões extensas e de convexidade: podem determinar falência das funções executivas. Estes pacientes não exteriorizam vontades ou desejos.
- Lesões do lóbulo orbitário: distúrbios do caráter e do humor: euforia, sarcasmo (moria).
- Lesões posteriores: manifestações motoras como hemiplegia e manifestações epilépticas.
Em
tumores frontais volumosos o paciente pode evoluir com instabilidade motora
(ataxia frontal) com tendência à retropulsão.
TUMORES PARIETAIS
Distúrbios sensitivos: episódios
parestésicos e/ou alteração das sensibilidades discriminativas, além de
distúrbios apráxicos e do esquema corporal. O fenômeno da extinção pode estar
presente. Anosognosia da hemiplegia e a hemissomatognosia caracterizam as
lesões do lobo não dominante. Enquanto que a autotopognosia e síndrome de
Gerstmann (agnosia digital, acalculia, agrafia e confusão lado
esquerdo-direito) são achados frequentes de lesões no hemisfério dominante.
TUMORES
TEMPORAIS
Lesões temporais esquerdas
costumam ter clínica exuberante através de distúrbios de linguagem (afasia de
compreensão). Em contra partida, tumores temporais direitos podem permanecer
latentes por longos períodos e só virem a se revelar quando instalado um quadro
de hipertensão intracraniana (HIC). O aparecimento de manifestações epilépticas
é comum, generalizadas ou focais. Crises de déjà
vu ou jamais vu também podem
ocorrer.
TUMORES
OCCIPITAIS
Os tumores desta topografia são raros. O sinal mais
constante é a hemianopsia lateral homônima total e congruente.
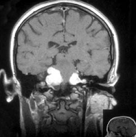
TUMORES
SELARES E PARASSELARES
Compreendem os tumores da
hipófise e do hipotálamo. Além das manifestações endócrinas (acromegalia, amenorreia,
diabetes insipidus, síndrome de
Cushing, etc.), são comuns as manifestações visuais (diminuição da acuidade
visual, hemianopsia bitemporal, quadrantanopsia, escotomas, atrofia ou edema de
papila). Os tumores com expansão laterosselar podem envolver os nervos
oculomotor e trigêmeo. Esses tumores podem determinar HIC.
OUTROS TUMORES DA FOSSA POSTERIOR
Lesões desta topografia costumam
associar-se com HIC de instalação precoce, sinais cerebelares, envolvimento de
nervos cranianos e de vias longas. Os tumores cerebelares hemisféricos
frequentemente cursam com ataxia apendicular ou axial. Enquanto que as lesões
vermianas cursam com ataxia axial. Tumores do ângulo pontocerebelar apresentam
inicialmente envolvimento do VIII e V nervos cranianos. Com a progressão do
quadro pode haver comprometimento do VII nervo.
A síndrome focal às vezes assume
valor inestimável ao indicar a sede do tumor. Isto nem sempre ocorre porque nos
hemisférios cerebrais existem áreas ditas “mudas”, cujo comprometimento não
determinará, durante ou em parte da evolução, sinais e sintomas focais. As
zonas costumeiramente “mudas”, do ponto de vista clínico, são constituídas
pelas porções anteriores do lobo frontal direito ou esquerdo e pelo lobo
temporal direito. Uma síndrome focal poderá conjugar sinais e sintomas e
configurar um quadro regional altamente sugestivo de determinado tumor, fato
que torna a sua identificação e correta caracterização fundamentais no manejo
desta patologia.
REFERÊNCIAS:
- CUKIERT, Arthur; GRONICH, Gary; MARINO JR, Raul. Surgical approaches to tumors and epileptogenic zones close to Wernicke's area. Arq. Neuro-Psiquiatr., São Paulo , v. 53, n. 3b, p. 587-591, set. 1995 . Disponível em <http://www.scielo.br/scielo.php?script=sci_arttext&pid=S0004-282X1995000400006&lng=pt&nrm=iso>. acessos em 28 ago. 2016. http://dx.doi.org/10.1590/S0004-282X1995000400006.
- GASPARINI, Brenda; MONTEIRO, Gina Torres Rego; KOIFMAN, Sergio. Mortalidade por tumores do sistema nervoso central em crianças e adolescentes no Rio de Janeiro, Brasil, 1980-2009. Cad. saúde colet., Rio de Janeiro , v. 21, n. 3, p. 272-280, Sept. 2013 . Available from <http://www.scielo.br/scielo.php?script=sci_arttext&pid=S1414-462X2013000300007&lng=en&nrm=iso>. access on 28 Aug. 2016. http://dx.doi.org/10.1590/S1414-462X2013000300007.
- SANTOS, Alair Augusto S.M.D. dos et al . Meningiomas parasselares: aspectos na ressonância magnética. Radiol Bras, São Paulo , v. 34, n. 1, p. 13-16, fev. 2001 . Disponível em <http://www.scielo.br/scielo.php?script=sci_arttext&pid=S0100-39842001000100005&lng=pt&nrm=iso>. acessos em 28 ago. 2016. http://dx.doi.org/10.1590/S0100-39842001000100005.
- SANVITO, Wilson Luiz. Breviário de condutas terapêuticas em neurologia. São Paulo: ATHENEU, 2015.
![]() |
| Por: Samuel Trindade Acadêmico de Medicina Membro da LIPANI |





























